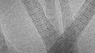
Research into bone structure published in leading journal New publication by Fabio Nudelman highlights findings on how the strength of bone is enhanced due to prestresses that are generated at the nanoscale. Bone is made of collagen fibers impregnated with nano-crystals of calcium phosphate mineral. New research shows that the growth of the mineral inside the collagen during bone formation causes compression forces within the fibers, which leads to a prestressed material, similar to prestressed concrete. This mechanism strengthens bone, and is similar to how the trunk of a tree is strengthened against forces like wind. There are many more mineralized tissues in nature with different functions, like vertebrate teeth and seashells, and it will be exciting to see to what extent prestresses also constitute a mechanism to enhance their material properties. It will also open new research on how we can apply this knowledge to design new materials for industrial and biomedical applications. More Information The article is a Perspectives paper being published in journal Science Publication date 13 Mar, 2024